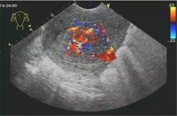
声像图特点:1、子宫增大边界不规则。2、肌瘤结节呈低回声、等回声或强回声。等回声周边可有低回声晕呈假包膜。3、子宫内膜移位或变形。4、膀胱变形,易引起尿贮留。5、肌瘤结节周围呈环状及半环状血流。阻力指数0.6±0.1。

声像图特征:1、子宫均匀性增大,边界规则。2、子宫内膜线前移。3、子宫内回声不均匀,低回声、强回声区,无包膜。4、子宫大小、内部回声月经前后常有变化。5、肿块周围无环状或半环状血流,阻力指数约0.6。


2、宫腔积血、积脓、积液

(宫腔积液)






精准度是超声不可否认的短板,但凭借其便捷无创,在肺栓塞的诊断仍占据一席之地,那么超声心动图下的肺血栓栓塞症是什么样的呢?赶紧一起来看看吧!
作为最特异的超声心动图特征,当右室/左室前后径比值 > 0.5;右室/左室横径(右房/左房横径)比值 >1.1或者左心室收缩末期和舒张末期径均减小,尤以舒张末期为著时,即可判定血栓性肺栓塞症。
上图:
右室壁运动幅度减低
正常情况下,右室前壁运动幅度应>5 mm,右室游离壁运动幅度会>8 mm,但对肺栓塞(PTE)患者,右室壁基底部至游离部运动幅度减低,甚至消失。
幅度降低可视但并非一个量化的标准,因此在把握和判断上存在疑议,这里呢就为大家分享一点观察的要点,同样看图说话:
正常声像图
PTE患者右室壁运动明显减低
正常的主肺动脉直径(MPA)<30 mm,左肺动脉&右肺动脉( LPA&RPA)<20 mm;而血栓栓塞性肺动脉高压(EPH)患者的MPA>30 mm,LPA&RPA>20 mm;慢性血栓栓塞性肺动脉高压(CTEPH)患者的MPA扩张则更加明显。
正常肺动脉
将探头置于剑下偏向右侧,扫描平面与下腔静脉平行,图像显示右房、下腔静脉及肝静脉。正常状态时,下腔静脉伴随深吸气出现明显的塌陷,IVC 直径≤2.1 cm 且吸气塌陷率>50%,即3 mmHg (范围 0-5 mmHg)。当右房压升高时,直径可>2.1 cm和/或吸气塌陷率<50% ,即15 mmHg (范围 10-20 mmHg)。在IVC 直径和塌陷率不适合此标准的情况下,可取中间值 8 mmHg(范围 5-10 mmHg)。
Tips:
IVC吸气塌陷率的计算:(Max D-Min D)/Max D * 100%
在无肺动脉狭窄、肺动脉瓣狭窄以及右室流出道梗阻等情况发生时,根据简化的Bernoulli 方程,肺动脉收缩(SPAP)≈右室收缩压(RVSP)=4(VTR)^2+RAP;肺动脉舒张压(PADP)的测量:PADP = 4 ×(肺动脉舒张末期反流速度V2)^2+RAP;平均压(MPAP)=4×(肺动脉反流早期速度V1)^2+ RAP。当VTR>3.4 m/s时,SPAP>50 mmHg,但此处需要注意的是,三尖瓣反流量与肺动脉压力无相关性!
肺动脉前向血流频谱收缩中期出现切迹,同时伴随血流速度明显减低、血流加速时间(ACT)缩短(<80 ms)、右室射血前期(RPEP)缩短(<300 ms)及ACT与右室射血时间(RVET)比值减低(<40%)等,即常说的“指拳征”。
血栓
血栓是血栓性肺栓塞最典型的特征,位于右房或右室中的血栓可形态各异,而位于肺动脉内时则常表现为大块血栓,从主干延续至一侧或双侧肺动脉分支。右肺动脉主干血栓易于显示,左肺动脉因显示较短,血栓不易显示。此外,需注意将血栓与右心系统肿瘤相鉴别。
右心血栓 肺动脉血栓
室间隔运动异常
主要表现为左室短轴切面“D”型改变。此时,室间隔偏向左室侧,运动平直,收缩期运动幅度减低,与右室前壁及左室后壁运动不同步。
卵圆孔(PFO)重新开放
慢性血栓性肺栓塞患者,由于肺动脉高压常造成PFO重新开放。往往会造成矛盾性栓塞。
临床上可通过右心声学造影判断卵圆孔开放与否,经食管超声心动图则可显示卵圆孔分流。